Vaše oralno zdravlje je naša prioriteta
Preventivna stomatologija je ključ dugoročnog oralnog zdravlja. Naši tretmani su osmišljeni da spriječe nastanak problema prije nego što se dogode.
Investiranje u preventivnu stomatologiju je najmudrija odluka koju možete donijeti za vaše oralno zdravlje. Redovni preventivni tretmani ne samo da štede novac dugoročno, već i čuvaju vaše zube zdravim kroz cijeli život.
Pružamo kompletnu paletu tretmana koristeći najnovije tehnologije

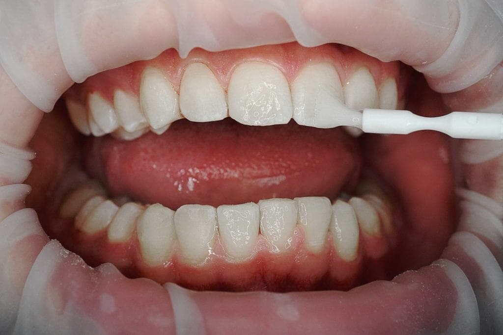
Uklanjanje kamenca, peskiranje i poliranje zuba za potpuno čist i zdrav osmijeh koji blista.

Jačanje zubne gleđi i prevencija nastanka karijesa kroz aplikaciju fluora visokog kvaliteta.

Preventivna mjera kod djece za zaštitu stalnih kutnjaka od nastanka karijesa u udubljenjima.
Individualizovana edukacija o pravilnoj njezi zuba i usne duplje prilagođena vašim specifičnim potrebama.